30代男性 歯の着色と乱れた歯並びを歯のクリーニング、歯列矯正、虫歯治療で改善した症例
| 年齢と性別 | 30代男性 |
|---|---|
| ご相談内容 |
「デコボコした歯並びと歯の着色が気になる」とご相談いただきました。 |
| カウンセリング・診断結果 |
拝見したところ、全体的に歯並びがややデコボコとしており、特に下前歯はねじれや位置のズレが目立っていました。 このままの状態を放置すると見た目の問題にとどまらず、虫歯の進行や歯並びの乱れによって将来的に痛みが出たり、歯の寿命が短くなったりする可能性があります。 以上のことから、歯の着色を除去する治療と歯並びを整える矯正治療、そして虫歯の治療を行う必要があると診断しました。 |
| 行ったご提案・治療内容 |
歯のクリーニング、ワイヤーを利用した歯列矯正、自然な白さが特徴のセラミックを用いた虫歯治療を組み合わせた総合的な治療計画を提案し、同意いただきました。 これらの治療を段階的に行うことで、より健康的な口腔環境を長期間維持できる可能性が高まります。 【治療の流れ】 ②歯列矯正 ③虫歯治療 計画通りに治療を進め、すべての治療を終了しました。 |
| 治療期間 | 2年 |
| おおよその費用 | 1,630,000円 |
| 治療のリスクについて | ・矯正治療中、発音しにくい場合があります ・矯正治療中、装置によってまれに頬の内側が傷つき、口内炎になる場合があります ・歯の移動に伴って、違和感や痛みを感じる場合があります ・セラミックの装着に際し、天然歯を削る必要があります ・噛み合わせや歯ぎしりが強い場合、セラミックが割れる可能性があります ・正しいブラッシングやメンテナンスを行わない場合、着色や虫歯が生じる可能性があります |
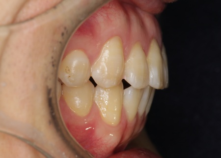
治療前
治療後























