50代男性 歯周病治療やインプラント治療で歯茎の痛みや歯のぐらつきなど口腔内全体の健康状態を改善した症例
| 年齢と性別 | 50代男性 |
|---|---|
| ご相談内容 |
「左上の奥歯がぐらついていて、歯茎が痛む」とご相談いただきました。 |
| カウンセリング・診断結果 |
拝見したところ、上下の歯がデコボコに生えており、歯が適切な位置に並ぶためのスペースが不足しています。 歯がデコボコに生えていると、歯ブラシが届きにくい部分に汚れが残り、虫歯や歯周病のリスクが高まります。 以上のことから、虫歯や歯周病の治療を行って口腔内全体の健康状態を改善したあと、根本的な原因となっている噛み合わせや歯並びを整える治療が必要だと診断しました。 |
| 行ったご提案・治療内容 |
患者様には、以下の治療計画を提案し、同意いただきました。 ①歯周病の治療を行う 矯正治療やインプラントは自費診療なので費用がかかること、丁寧に段階を踏んで治療を進めるため治療期間が長期になることがデメリットですが、口腔内の状況を根本から改善するため、治療後は健康な状態を長く維持できる可能性が高まる点が大きなメリットです。 まずは歯茎の炎症を抑えるために、歯の表面に付着したプラークや歯石を除去します。今後、さらなる汚れの付着を防ぐため、患者様に正しい歯磨きの方法を指導しました。 歯周病が改善してから、歯の表面にボタン状の四角い器具を接着し、そこにワイヤーを通して歯を動かすワイヤー矯正を行います。 次に、歯周病により温存が難しいと判断した右上前歯2本(側切歯、犬歯)、右下2本(第1小臼歯、第2小臼歯)、左上2本(側切歯、第2小臼歯)、左下前歯1本(側切歯)を抜き、インプラントを埋入します。 続いて、インプラント部分と虫歯を削った部分に仮歯を装着します。 虫歯の範囲が比較的小さい歯には詰め物を、インプラント部分や虫歯の範囲が大きい部位には被せ物を作製します。 詰め物と被せ物の素材には、審美性や耐久性が高いうえ、汚れが付着しにくく虫歯や歯周病の再発を予防する効果も期待できるセラミックを選択しています。 最後に、矯正治療後の歯並びが後戻りするのを防ぐため、リテーナーと呼ばれる保定装置を下前歯の裏側に装着し、治療を終了しました。 |
| 治療期間 | 2年半 |
| おおよその費用 | 5,690,000円 |
| 治療のリスクについて | ・治療中に痛みを伴う場合があります ・正しいブラッシングやメンテナンスを行わない場合、歯石の付着や虫歯が生じる可能性があります ・歯の移動に伴って、違和感や痛みを感じる場合があります ・持病をお持ちの方や、服用中のお薬の種類によっては、外科処置ができない場合があります ・メンテナンスを怠ったり、喫煙したりすると、お口の中に大きな悪影響を及ぼし、インプラント周囲炎などにかかる可能性があります ・噛み合わせや歯ぎしりが強い場合、セラミックが割れる可能性があります |
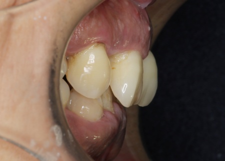
治療前
治療後























