20代女性 ワイヤー矯正で歯並びを整えて虫歯治療やインプラント治療で口腔内全体を改善した症例
| 年齢と性別 | 20代女性 |
|---|---|
| ご相談内容 |
「右上の歯で噛むと痛い」とご相談いただきました。 |
| カウンセリング・診断結果 |
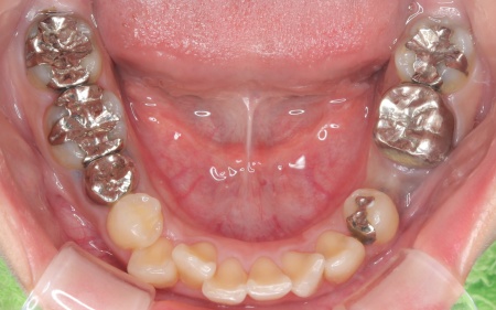
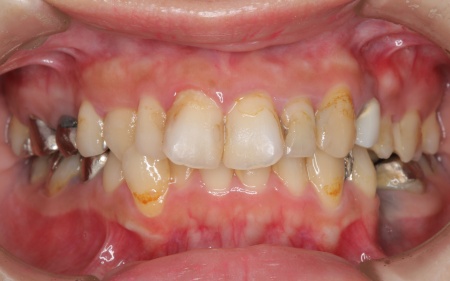
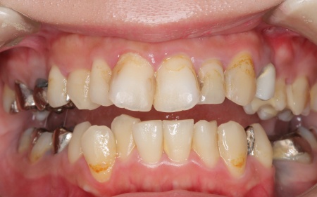
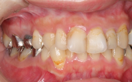
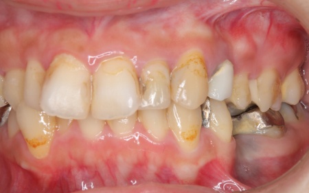
詳しく拝見したところ、下の前歯4本を除くほぼすべての歯に虫歯が認められました。 また、左上奥歯1本と左下奥歯1本が欠損しており、その影響で噛み合わせのバランスが崩れているため、噛んだときの痛みにつながっていると考えられます。 このまま放置すると、虫歯が進行したり、欠損部周囲の歯が動いて噛み合わせがさらに不安定になったりするリスクがあるため、虫歯を含めた口腔内全体の治療が必要だと診断しました。 |
| 行ったご提案・治療内容 |
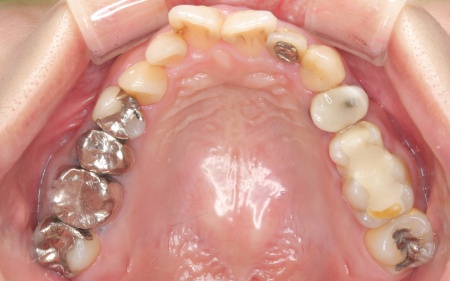
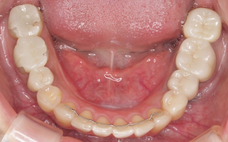
診断結果をお伝えしたうえで、以下2つの治療方法を提案しました。 ①歯並びを整えず、必要な部分のみを治療する方法 ②矯正治療で歯並びと噛み合わせの土台を整えたうえで、口腔内全体の治療を行う方法 それぞれのメリット・デメリットをお伝えしたところ、患者様は②の矯正治療を含めた総合的な治療を行う方法を選択されました。 はじめに、歯の表面にブラケットと呼ばれるボタン状の装置を接着し、そこにワイヤーを通して歯を動かすワイヤー矯正を開始しました。治療期間中は定期的に状態を確認し、計画通りに歯が動くよう調整を重ねています。 虫歯が生じている歯に対しては、虫歯部分を丁寧に除去し、歯の形を整えました。その後、被せ物を作製するために型取りを行い、後日完成した被せ物を装着しました。 また、欠損していた左上奥歯1本と左下奥歯1本に対しては、インプラント治療を行います。 すべての治療工程を終えたあと、噛み合わせや見た目、被せ物の使用感に問題がないかなどを確認して、治療を終了しています。 |
| 治療期間 | 3年 |
| おおよその費用 | 3,250,000円 |
| 治療のリスクについて | ・治療中に痛みを伴う場合があります ・メンテナンスを怠ったり、喫煙したりすると、お口の中に大きな悪影響を及ぼし、インプラント周囲炎などにかかる可能性があります ・糖尿病、肝硬変、心臓病などの持病をお持ちの場合、インプラント治療ができない可能性があります ・治療中、装置によってまれに頬の内側が傷つき、口内炎になる場合があります ・噛み合わせや歯ぎしりが強い場合、セラミックが割れる可能性があります ・一部の治療を除き、自費診療(保険適用外治療)です |
治療前
治療後

















