30代女性 デコボコした歯並びをワイヤー矯正とセラミック治療で改善した症例
| 年齢と性別 | 30代女性 |
|---|---|
| ご相談内容 |
歯並びをきれいにしたい」とご相談いただきました。 |
| カウンセリング・診断結果 |
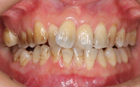
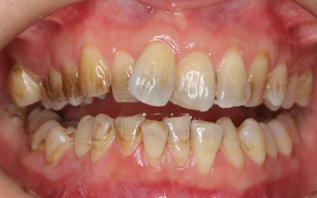
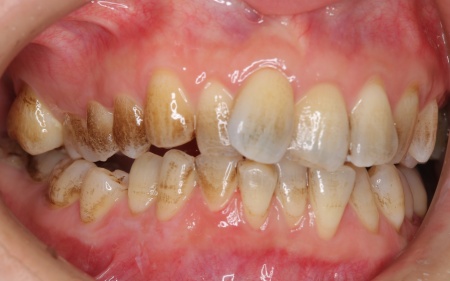
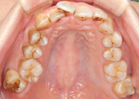
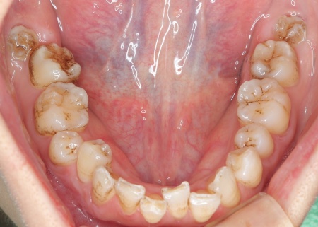
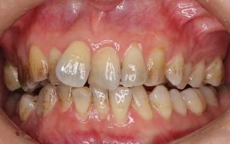
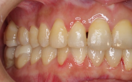
拝見したところ、歯が全体的にずれたりねじれたりして生えており、歯並びがデコボコしていました。 また、数本の歯にはプラスチックの詰め物が装着されていましたが、経年的な劣化により歯との間に段差が生じています。これも噛み合わせのバランスを崩す原因のひとつになっていると考えられました。 歯並びや噛み合わせの乱れをこのまま放置すると、歯磨きがしにくくなり虫歯や歯周病のリスクが高まるほか、特定の歯に強い力がかかり続けることで将来的に歯の寿命に影響を及ぼすおそれもあります。
以上のことから、見た目だけでなくお口全体の噛み合わせまで考慮した治療が必要と診断しました。 |
| 行ったご提案・治療内容 |
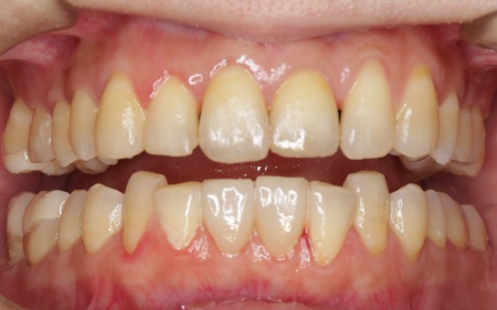
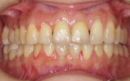
診断結果を踏まえ、まずはワイヤー矯正で歯並びと噛み合わせを整え、その後に形が変化している歯や劣化した詰め物を白いセラミック素材で作り直す治療計画を提案し、同意いただきました。 この治療方法であれば、歯を動かして噛み合わせの位置関係をしっかりと整えたうえでセラミックによる修復治療を行えます。また金属を使用しない白い素材を用いるため、見た目の違和感を抑えられます。 また、下の左右に半分埋まっている親知らず(第3大臼歯)があるため、矯正治療の際に抜歯する必要があることをお伝えし、ご了承いただきました。 まず親知らず2本を抜歯し、ワイヤー矯正治療から開始します。
矯正治療が終了したあと、セラミックによる修復治療へと移行しました。 さらにすり減って形が不揃いになっていた下中央の前歯2本には、ラミネートベニアと呼ばれる歯の表面に薄いセラミックの板を貼り付ける方法を用いて形を調整しました。 以上の工程を順に進め、すべての治療を終了しました。 |
| 治療期間 | 2年半 |
| おおよその費用 | 1,530,000円 |
| 治療のリスクについて | ・抜歯後に腫れや出血、痛みが続く場合があります ・治療中、発音しにくい場合や舌が動かしにくいことがあります ・治療中、装置によってまれに頬の内側が傷つき、口内炎になる場合があります ・歯の移動に伴って、違和感や痛みを感じる場合があります ・セラミックの装着に際し、天然歯を削る必要があります ・噛み合わせや歯ぎしりが強い場合、セラミックが割れる可能性があります |
治療前
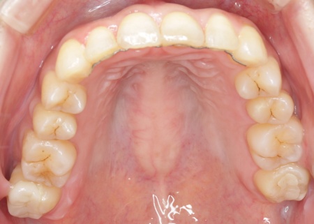
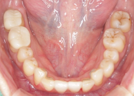
治療後




















